Veneers in Nashville, TN
Craft a Customized, Confident Smile
- High-end results with IPS e.max® and Empress®
- Designed to fix chips, stains, gaps, and more
- Wax-up previews help you visualize your new smile
- Two visits is all it takes to transform your look


Take the First Step Toward
an Empowering Smile
If you’ve been thinking about upgrading your smile, now’s the time. Our dentist in Nashville, TN, blends art and precision to deliver veneers that look completely natural and unmistakably you. These thin, customized restorations can give your smile the symmetry and charisma you want.
From consult to placement, our team is here to make the process seamless, supportive, and tailored to your goals. Whether you’re fixing a single chipped tooth or reinventing your entire smile, we’re ready when you are.
We’re the Destination
for Veneers
In the Gulch
Veneers are a highly personalized and personal treatment. Patients say they’re glad they chose us for veneers because the results look natural and flattering, we provide timely care, and our work takes confidence to exciting new heights.

We Give You Natural-Looking Results Dental Veneers Can Create Stunning Smiles

Your Smile Can Be Transformed
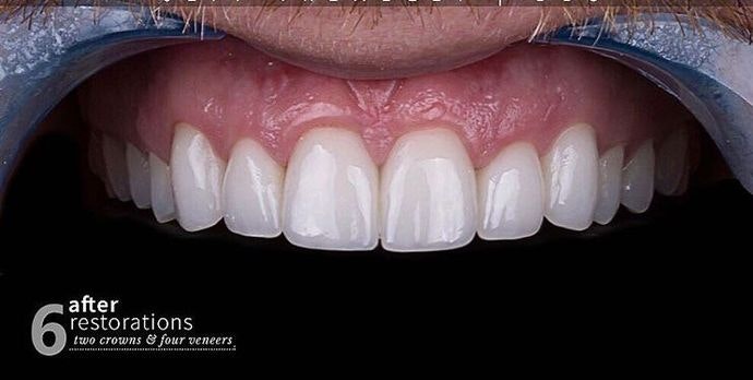
Phenomenal Results for a Porcelain Veneers Patient
Just a few veneers can make a dramatic difference. After placement, your smile will appear brighter, more even, and free from visible flaws.
Come see what’s possible at our Nashville practice — your new smile could be just a few appointments away.
Ideal Dental Veneer Candidates
Healthy teeth and gums are the foundation for successful veneer treatment. If you have untreated decay or gum disease, we’ll address those issues first.
Other candidacy factors include:
Sufficient Enamel
Some enamel must be removed for veneers to fit. If your enamel is very thin or worn, we may suggest alternatives.
No Active Teeth Grinding
Grinding can damage veneers. We may recommend a nightguard or other solution if this applies to you.
Mild Misalignment
Veneers can correct small gaps or crooked teeth, but moderate to severe cases may need Invisalign.
Good Oral Hygiene Habits
Daily care and routine cleanings help protect your investment and your underlying teeth.
Comfort With Permanent Change
Teeth treated for veneers will always require some kind of restoration. Alternatives like dental bonding can help you test the waters before committing to a permanent change.
Superior Cosmetic Dentistry
in Nashville
Choose Gulch Dental Studio for Porcelain Veneers
Since opening our doors in 2015, Gulch Dental Studio has become a destination for cosmetic care in Nashville. Patients love our modern environment, personalized attention, and concierge approach.
Porcelain veneers remain one of our most popular treatments. It’s a relatively quick, minimally invasive way to create stunning, natural-looking results.
Ready to learn more? Call us or request a consultation today.

The best dental office in Nashville. Professional, knowledgeable, and courteous. The work that Dr Harris does is remarkable. He is a perfectionist and turns cosmetic dentistry into dental art! A+++ to all of the staff also. They obviously hire the best! – Linda, 5-Star Review
The Porcelain Veneers Timeline What You Can Expect
Veneers can be placed in just two visits, with no downtime and stunning results.
Dental veneers can enhance your smile in just two office visits. The process is minimally invasive and virtually painless.
Want to Transform Your Smile?
Take the First Step by Contacting Our Practice
Have visible chips, cracks, or stains that keep you from smiling? Veneers can cover those flaws and reveal a polished, confident smile that still feels like you.
Our team at Gulch Dental Studio is here to help you explore your options, answer your questions, and design a treatment plan that reflects your goals.

Porcelain Veneer FAQ
How long do dental veneers last?
With good care, veneers typically last 10–15 years before needing replacement.
Will veneers ruin my teeth?
No. Only a small layer of enamel is removed, which won’t harm the structural integrity of your teeth. However, teeth treated for veneers will always require a restoration going forward.
Can I smoke after getting veneers?
Technically, yes, but you shouldn’t. Aside from all the well-known reasons why smoking is a great habit to break, it can also stain your natural teeth and harm your gum health.
What if a veneer chips or comes loose?
Contact us right away. Bring the veneer (if possible), and we’ll recommend the best way to repair or replace it.
I found veneers at a price that seems too good to be true. Why not go there?
The cost of veneers is a long-term investment in your smile, and quality matters. Lower-cost options often rely on cheaper materials, limited customization, or rushed fabrication that can lead to unnatural results or premature failure. At Gulch Dental Studio, we use premium materials and a trusted lab to ensure your veneers look natural, feel comfortable, and last for years.


















